Nature子刊:用細菌遞送藥物到癌細胞內,有效治療肝癌和乳腺癌

Nature子刊:用細菌遞送藥物到癌細胞內,有效治療肝癌和乳腺癌

2021年10月21日,美國馬薩諸塞大學聯合比利時魯汶大學的研究人員在 Nature 子刊" Nature Communications "期刊發表了一篇研究論文。該研究開發了一種無毒、基于細菌的遞送系統,沙門氏菌,它不僅可以輕松進入細胞,而且可以專門針對癌細胞直接輸送蛋白質(藥物),且不影響健康細胞。一旦它的蛋白質有效載荷被傳遞,細菌就會清除,可以為目前無法治療的癌癥,如肝癌或轉移性乳腺癌提供有效的靶向治療。

查看詳細
科幻!ACS NANO:納米機器人用于腫瘤細胞局部治療

科幻!ACS NANO:納米機器人用于腫瘤細胞局部治療

總結:隨環境變形的磁驅水凝膠微納米結構(納米機器人)實現了微觀上局部藥物(DOX)包封和可控釋放。不僅如此,它們還可以改造用以操作或者保護各種分子,比如容易被破壞的藥物分子和多肽藥物等。因此,微納米機器人技術在腫瘤治療、干細胞移植、活體生物傳感等方面有著很大的研究潛力。

查看詳細
攻克阿爾茨海默癥的曙光!納米酶復合材料或可改善阿爾茨海默癥

攻克阿爾茨海默癥的曙光!納米酶復合材料或可改善阿爾茨海默癥

阿爾茨海默?。ˋD)俗稱老年癡呆癥,是一種神經退行性疾病,是一種與淀粉樣蛋白原纖維(Aβ)沉積和神經纖維纏結(NFTs)密切相關的線粒體功能障礙。治療AD的藥物一直在開發,但是效果都很有限,主要原因是:對認知功能的影響較差或有顯著的副作用以及血腦屏障穿透性較弱,難以達到理想的治療效果。

查看詳細
無需腎移植!Nature子刊:科學家通過逆轉小鼠多囊腎病揭示腎臟的可塑性

無需腎移植!Nature子刊:科學家通過逆轉小鼠多囊腎病揭示腎臟的可塑性

多囊腎,即正常腎組織被無數小囊所代替,外形似一串葡萄??煞譃?型:①常染色體隱性多囊腎;②腎發育不良;③常染色體顯性多囊腎;④尿道梗阻多囊腎。其中常染色體顯性多囊腎又稱成人型多囊腎(ADPKD),發病率為1/500~1000。臨床特征包括充滿液體的囊腫的生長,使腎臟變形和擴大,并引發炎癥和纖維化等繼發性過程,這導致大多數患者出現腎功能衰竭。

查看詳細
地表強輔助:哮喘老是治不好?益生菌或可助你一臂之力!

地表強輔助:哮喘老是治不好?益生菌或可助你一臂之力!

哮喘是一種常見的慢性炎癥性呼吸系統疾病,在全球范圍內具有高發病率和死亡率,其臨床表現為喘息、咳嗽、胸悶、呼吸急促、呼吸困難、睡眠障礙等,并且可能誘發氣胸、肺不張、慢阻肺、支氣管擴張或肺源性心臟病等并發癥。

查看詳細
為什么你越減越肥?《iScience》:體內缺少這種蛋白,再怎么減肥都是白費!

為什么你越減越肥?《iScience》:體內缺少這種蛋白,再怎么減肥都是白費!

據統計,全球有超過6.5億成年人患有肥胖癥。因此減肥儼然成了當下熱門的話題,然而令人疑惑的是,為何有些人每天堅持減肥,體重卻依舊不斷上漲呢?

查看詳細
人為什么會得癌癥?《自然》子刊對體細胞、胚胎、精子測序發現重要基因!

人為什么會得癌癥?《自然》子刊對體細胞、胚胎、精子測序發現重要基因!

人體是由無數細胞構成的,而每個細胞分裂時都需要復制基因組。在細胞分裂的過程中,DNA聚合酶按照模板鏈合成新的DNA鏈。當然,這一過程需要保證極低的誤差率,這種低誤差率是通過基礎結合的保真度、聚合物的校對能力以及DNA錯配修復的監測來保證的。在這一過程中,核酸外切酶具有校對活性,可以識別和去除錯配的堿基。

查看詳細
年輕人,當心了!新研究揭示:現在不關心血壓,未來或比同齡人“更傻”

年輕人,當心了!新研究揭示:現在不關心血壓,未來或比同齡人“更傻”

血壓升高是全球范圍內主要的健康風險因素,也是導致人們過早死亡的主要原因。全球大約31%的成年人患有高血壓,另有25-50% 處于高血壓前期,這些人群面臨著更高的中風和心血管疾病風險。隨著科學研究持續推進,人們甚至發現,血壓升高會讓人“傻”得更快。

查看詳細
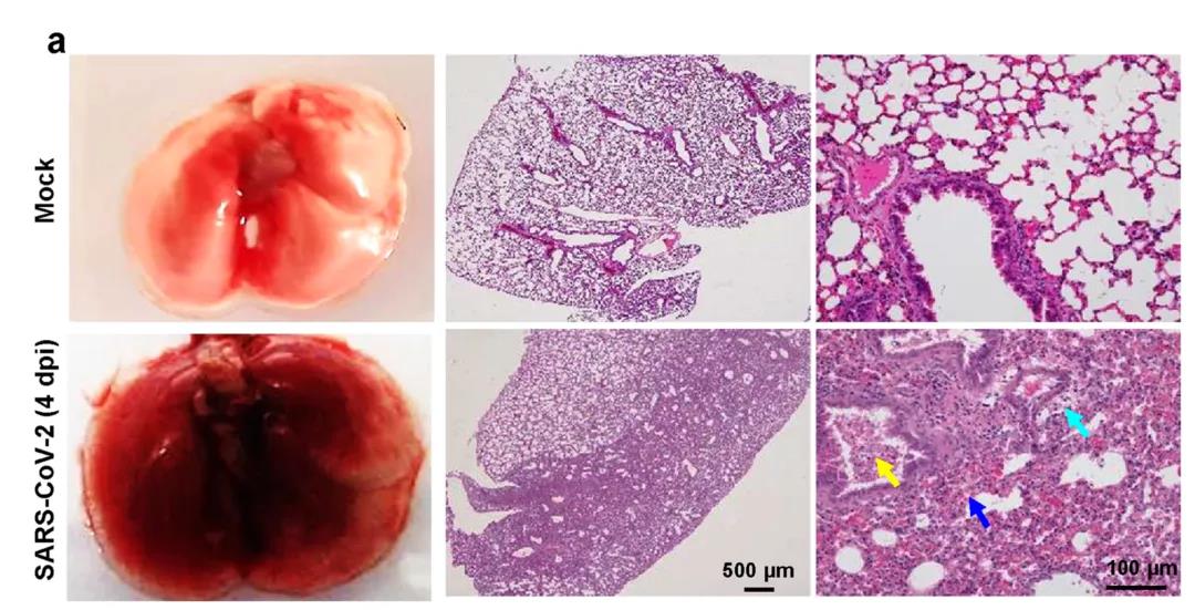
?建模成功!Nature子刊:成功建立新冠肺炎重癥模型,揭示新冠病毒感染的分子機制

?建模成功!Nature子刊:成功建立新冠肺炎重癥模型,揭示新冠病毒感染的分子機制

自2019年年底開始,新型冠狀病毒(SARS-CoV-2)引起的新冠肺炎(COVID-19)疫情一直在全球范圍內流行,全球死亡率居高不下,已經導致全球的公共衛生危機。COVID-19的臨床癥狀多樣,從發燒、乏力、干咳到呼吸困難,從輕度肺炎到急性肺損傷(ALI)和嚴重病例的急性呼吸窘迫綜合征均可出現。

查看詳細