發表在《美國國家科學院院刊》(PNAS)上的研究結果表明,腸道細菌感染和一系列與腸道細菌有關的慢性疾病,包括炎癥性腸病(IBD)、乳糜瀉、腸易激綜合征和短腸綜合征,都有可能成為治療目標。
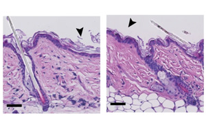
在皮膚老化中起關鍵作用的蛋白質
在一項開創性的研究中,科學家們已經確定了IL-17蛋白在皮膚衰老中的關鍵作用。研究人員發現,皮膚中的某些免疫細胞在衰老過程中表達高水平的IL-17,從而導致炎癥狀態。通過抑制IL-17,他們注意到衰老癥狀的延遲出現,如毛囊生長受損、經皮失水、傷口愈合緩慢和衰老的遺傳標記。
Science | 重要發現!斯坦福大學巧妙改造皮膚細菌,激活免疫助力抗癌
2023年4月13日,斯坦福大學Michael A. Fischbach團隊在Science在線發表了題為“Engineered skin bacteria induce antitumor T cell responses against melanoma”的研究論文,該研究通過表達固定在分泌蛋白或細菌表面蛋白上的腫瘤抗原改造皮膚細菌表皮葡萄球菌來,測試其驅動抗腫瘤免疫反應的能力。在定植后,工程化表皮葡萄球菌能誘導產生腫瘤特異性T細胞,該T細胞成熟后能在血液中循環,并進而浸潤局部和轉移性腫瘤病變處,發揮
Nature Methods:研究復雜基因組相互作用
馬克斯·德爾布賴克中心柏林醫學系統生物學研究所(MDC-BIMSB)的研究人員已經開發出一種名為基因組結構測繪(GAM)的技術,可以窺視基因組,并以絢麗的彩色看到它。Pombo實驗室在Nature Methods上發表的一項新研究報告稱,GAM揭示了基因組空間結構的信息,而這些信息對于僅使用Hi-C(2009年開發的用于研究DNA相互作用的主要工具)的科學家來說是不可見的。
是什么決定了CD8+ T細胞的命運?Immunity新研究指向cBAF復合物
最近,索爾克生物研究所Susan Kaech教授和Diana Hargreaves副教授領導的團隊發現,一種名為cBAF的蛋白質復合物可通過“開門或關門”來控制T細胞的命運。這項研究成果于6月13日發表在《Immunity》雜志上,闡明了T細胞如何對抗和記憶感染,同時為開發更有效的疫苗和癌癥治療方法鋪平了道路。
PNAS:基于CRISPR/cas9的基因驅動可以抑制農業害蟲
北卡羅來納州立大學研究人員已經開發出一種基于CRISPR/Cas9的“歸巢基因驅動系統”,可以用來抑制斑翅果蠅 Drosophila suzukii 的數量。研究人員開發了雙CRISPR基因驅動系統,針對一種特定的斑翅果蠅基因,這種基因被稱為doublesex,對果蠅的性發育很重要。
Cancer Cell革命性的新發現:癌癥風險與環狀RNA之間的重要聯系
澳大利亞癌癥研究人員在個人癌癥風險與環狀RNA的功能之間建立了重要的新聯系,環狀RNA是最近發現的存在于我們細胞中的基因片段家族。弗林德斯大學領導的一項新研究發表在癌癥期刊《癌細胞》上,該研究發現,我們許多人體內的特定環狀RNA可以附著在細胞中的DNA上,導致DNA突變,從而導致癌癥。
IL-17蛋白對皮膚老化的關鍵作用
來自巴塞羅那生物醫學研究所(IRB Barcelona)與國家基因組分析中心(CNAG)合作的一組科學家發現,IL-17蛋白在皮膚老化中起著核心作用。這項研究由巴塞羅那IRB的Guiomar Solanas博士、Salvador Aznar Benitah博士和CNAG的Holger Heyn博士領導,強調了Il -17介導的衰老過程到炎癥狀態。
Nature發現染色體不穩定性和表觀遺傳改變之間意想不到的聯系
染色體不穩定性與每個癌細胞攜帶的染色體數量的變化有關。表觀遺傳改變改變細胞中基因的開啟或關閉,但不改變細胞的DNA。這項研究結果發表在6月7日的《自然》雜志上,它不僅為基礎科學生物學研究開辟了一個肥沃的新領域,而且對臨床護理也有影響。


