可的松和其他相關的糖皮質激素在抑制過度免疫反應方面非常有效。但在此之前,人們對它們究竟是如何做到這一點知之甚少。來自柏林慈善醫院、埃爾蘭根大學(Uniklinikum Erlangen)和烏爾姆大學(Ulm University)的一組研究人員現在更詳細地探索了作用的分子機制。
Nature最新發現控制CAR-T細胞壽命的蛋白質!
現在,在一項新的研究中,費城兒童醫院(CHOP)和斯坦福大學醫學院的研究人員發現,一種名為fox01的蛋白質可以提高CAR - T細胞的存活率和功能,這可能會導致更有效的CAR-T細胞療法,并有可能擴大其在難以治療的癌癥中的應用。
新研究發現產生神經元有幾種不同的途徑
由神經科學研究所(IN)的研究員Víctor Borrell領導的神經發生和皮層擴張實驗室(西班牙國家研究委員會(CSIC)和Miguel Hernández大學(UMH)的聯合中心)領導的一項研究發現,放射狀膠質細胞的類型不僅比以前認為的要多得多,而且至少有三種不同的神經發生過程同時發生在相同的大腦區域和發育的同一時刻。
Nature Microbiology:一種以前未知的免疫反應途徑
由德克薩斯大學西南醫學中心的科學家領導的一個研究小組通過關注痘病毒蛋白,發現了一種廣泛對抗多種病毒的抗病毒免疫途徑。他們的研究結果發表在《自然微生物學》雜志上,可能最終導致預防或治療病毒感染或阻止自身免疫性疾病的新方法。
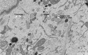
Cell Stem Cell:利用類器官保護癡呆和ALS中受到的腦損傷
創傷性腦損傷(TBI)會使你患癡呆癥的風險增加四倍,并增加你患神經退行性疾病(如ALS)的幾率。在《細胞干細胞》雜志上發表的一項新研究中,南加州大學的科學家們使用實驗室培養的人類大腦結構(稱為類器官)來深入了解為什么會出現這種情況以及如何減輕風險。
血液中可溶性免疫檢查點因子作為ICI癌癥免疫治療和評估T細胞衰竭治療效果的潛在生物標志物
非小細胞肺癌(NSCLC)是一種非常普遍的肺癌。目前針對非小細胞肺癌的治療策略包括使用免疫檢查點抑制劑(ICIs),因為它們為非小細胞肺癌患者提供了顯著的臨床益處。
《Science Advances》CRISPR-Cas9利用低溫休克腫瘤細胞靶向肺癌
浙江大學的科學家們已經開發出一種新的CRISPR-Cas9遞送載體,在治療肺癌方面比脂質納米顆粒(LNPs)更有效。快速液氮治療可以將腫瘤細胞轉化為體內靶向癌癥的基因編輯工具的載體。低溫休克在保留腫瘤細胞結構和表面受體功能的同時,消除了腫瘤細胞的致病性。
《Nature Microbiology》出血熱病毒如何進入人體細胞?
卡羅林斯卡研究所的研究人員與JLP Health和其他機構合作,已經確定了蜱傳克里米亞-剛果出血熱病毒是如何進入我們的細胞的。該研究結果發表在《自然微生物學》雜志上,是開發對抗這種致命疾病的藥物的重要一步。


