當前位置:首頁 >新聞中心 >市場動態


Nature Microbiology:一種以前未知的免疫反應途徑


  市場動態     |      2024-04-10
摘要:德克薩斯大學西南分校的研究發現了一種免疫反應途徑。
由德克薩斯大學西南醫學中心的科學家領導的一個研究小組通過關注痘病毒蛋白,發現了一種廣泛對抗多種病毒的抗病毒免疫途徑。他們的研究結果發表在《自然微生物學》雜志上,可能最終導致預防或治療病毒感染或阻止自身免疫性疾病的新方法。
“為了了解免疫反應是如何工作的,我們讓病毒來說話。這種病原體引導的方法使我們找到了一種以前未知的免疫反應途徑,”微生物學助理教授、德克薩斯大學西南分校生物醫學研究W.W. Caruth學者Don Gammon博士說。Gammon博士與Emily Rex共同領導了這項研究,Emily Rex是UTSW的研究生研究員。
FEAR抗病毒反應途徑獨立于干擾素,并由痘病毒蛋白對抗
圖1 FEAR抗病毒反應途徑獨立于干擾素,并由痘病毒蛋白對抗
大約十年前,當Gammon博士還是諾貝爾獎得主Craig Mello博士指導下的博士后時,他和同事們發現,通常不會在飛蛾細胞中復制的病毒,在與牛痘病毒(一種通常感染脊椎動物的痘病毒)共同感染時,很容易復制?;虿僮鞅砻鳎@種效果是由于一種名為A51R的痘病毒蛋白,它似乎是一種免疫逃避蛋白,幫助這些病毒對抗細胞抗病毒防御。目前尚不清楚為什么哺乳動物痘病毒蛋白能夠抑制昆蟲細胞中的抗病毒反應。
一幅效果圖說明了恐懼抗病毒免疫途徑,這是由德克薩斯大學西南分校的研究人員發現的,似乎可以對抗多種病毒。該圖像描繪了細胞FACT復合物,由細胞蛋白SSRP1和Spt16組成。痘病毒A51R蛋白通過與痘病毒感染細胞中的Spt16蛋白結合抑制FACT復合物的形成。
Gammon博士假設痘病毒A51R蛋白可能抑制了昆蟲和哺乳動物宿主之間常見的抗病毒防御。然而,這種抗病毒反應的性質和A51R阻斷這種反應的機制尚不清楚。
在這項新研究中,Gammon博士和同事通過在哺乳動物細胞中尋找與A51R結合的蛋白質來尋找答案。他們的實驗表明,A51R附著在Spt16上,Spt16是一種已知與另一種細胞蛋白(SSRP1)結合形成FACT復合物的蛋白質。進一步的實驗表明,當A51R存在于細胞中時,比如在痘病毒感染期間,它會阻止這種復合體的形成,阻止它通過激活細胞核中的另一種蛋白質(ETS-1)來調節基因活性。
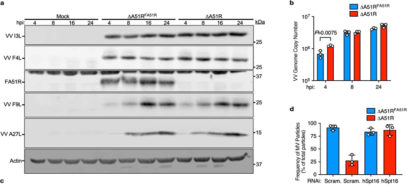
ΔA51R菌株表現出正常的病毒基因表達和基因組復制
圖2 ΔA51R菌株表現出正常的病毒基因表達和基因組復制
盡管FACT復合體從未與抗病毒免疫聯系起來,但進一步的實驗表明,它通過ETS-1調節的基因具有抗病毒功能。令人驚訝的是,這種先前未知的抗病毒途徑——研究人員將其命名為FACT-ETS-1抗病毒反應(FEAR)途徑——與干擾素反應途徑沒有任何關系,干擾素反應途徑于1957年被發現,被認為是哺乳動物細胞抵抗病毒的主要方式。
干擾素反應僅存在于脊椎動物細胞中,但FACT復合體和ets -1相關因子在許多生物中都被發現,包括人類、蝙蝠、昆蟲和蠕蟲,這表明FEAR途徑在進化上可能比干擾素反應更古老。FEAR途徑似乎還能對抗不同科的多種病毒,包括橫紋肌病毒(導致狂犬病)、黃病毒(導致寨卡病毒、登革熱和黃熱病)和正黏液病毒(導致流感)。
Gammon博士說,關于這一新發現的免疫途徑,還有很多東西有待研究,包括病毒如何激活FEAR,其他病毒如何抑制它,以及它如何在分子水平上阻止病毒復制。他補充說,如果發現FEAR在這些情況下被激活,對FEAR的更深入了解可能會導致更好的疫苗、對抗病毒感染的新藥,或者治療自身免疫性疾病的新方法。
其他為這項研究做出貢獻的UTSW研究人員包括微生物學教授Neal Alto博士;Robert Orchard博士,免疫學和微生物學助理教授;Dustin hanks博士,免疫學助理教授;Sruthi Chappidi博士,計算生物學家;研究生研究員Dahee Seo, Aaron Embry和Moiz Munir。
參考資料
[1] FEAR antiviral response pathway is independent of interferons and countered by poxvirus proteins

 

摘要:德克薩斯大學西南分校的研究發現了一種免疫反應途徑。
由德克薩斯大學西南醫學中心的科學家領導的一個研究小組通過關注痘病毒蛋白,發現了一種廣泛對抗多種病毒的抗病毒免疫途徑。他們的研究結果發表在《自然微生物學》雜志上,可能最終導致預防或治療病毒感染或阻止自身免疫性疾病的新方法。
“為了了解免疫反應是如何工作的,我們讓病毒來說話。這種病原體引導的方法使我們找到了一種以前未知的免疫反應途徑,”微生物學助理教授、德克薩斯大學西南分校生物醫學研究W.W. Caruth學者Don Gammon博士說。Gammon博士與Emily Rex共同領導了這項研究,Emily Rex是UTSW的研究生研究員。
FEAR抗病毒反應途徑獨立于干擾素,并由痘病毒蛋白對抗
圖1 FEAR抗病毒反應途徑獨立于干擾素,并由痘病毒蛋白對抗
大約十年前,當Gammon博士還是諾貝爾獎得主Craig Mello博士指導下的博士后時,他和同事們發現,通常不會在飛蛾細胞中復制的病毒,在與牛痘病毒(一種通常感染脊椎動物的痘病毒)共同感染時,很容易復制?;虿僮鞅砻?,這種效果是由于一種名為A51R的痘病毒蛋白,它似乎是一種免疫逃避蛋白,幫助這些病毒對抗細胞抗病毒防御。目前尚不清楚為什么哺乳動物痘病毒蛋白能夠抑制昆蟲細胞中的抗病毒反應。
一幅效果圖說明了恐懼抗病毒免疫途徑,這是由德克薩斯大學西南分校的研究人員發現的,似乎可以對抗多種病毒。該圖像描繪了細胞FACT復合物,由細胞蛋白SSRP1和Spt16組成。痘病毒A51R蛋白通過與痘病毒感染細胞中的Spt16蛋白結合抑制FACT復合物的形成。
Gammon博士假設痘病毒A51R蛋白可能抑制了昆蟲和哺乳動物宿主之間常見的抗病毒防御。然而,這種抗病毒反應的性質和A51R阻斷這種反應的機制尚不清楚。
在這項新研究中,Gammon博士和同事通過在哺乳動物細胞中尋找與A51R結合的蛋白質來尋找答案。他們的實驗表明,A51R附著在Spt16上,Spt16是一種已知與另一種細胞蛋白(SSRP1)結合形成FACT復合物的蛋白質。進一步的實驗表明,當A51R存在于細胞中時,比如在痘病毒感染期間,它會阻止這種復合體的形成,阻止它通過激活細胞核中的另一種蛋白質(ETS-1)來調節基因活性。
ΔA51R菌株表現出正常的病毒基因表達和基因組復制
圖2 ΔA51R菌株表現出正常的病毒基因表達和基因組復制
盡管FACT復合體從未與抗病毒免疫聯系起來,但進一步的實驗表明,它通過ETS-1調節的基因具有抗病毒功能。令人驚訝的是,這種先前未知的抗病毒途徑——研究人員將其命名為FACT-ETS-1抗病毒反應(FEAR)途徑——與干擾素反應途徑沒有任何關系,干擾素反應途徑于1957年被發現,被認為是哺乳動物細胞抵抗病毒的主要方式。
干擾素反應僅存在于脊椎動物細胞中,但FACT復合體和ets -1相關因子在許多生物中都被發現,包括人類、蝙蝠、昆蟲和蠕蟲,這表明FEAR途徑在進化上可能比干擾素反應更古老。FEAR途徑似乎還能對抗不同科的多種病毒,包括橫紋肌病毒(導致狂犬病)、黃病毒(導致寨卡病毒、登革熱和黃熱病)和正黏液病毒(導致流感)。
Gammon博士說,關于這一新發現的免疫途徑,還有很多東西有待研究,包括病毒如何激活FEAR,其他病毒如何抑制它,以及它如何在分子水平上阻止病毒復制。他補充說,如果發現FEAR在這些情況下被激活,對FEAR的更深入了解可能會導致更好的疫苗、對抗病毒感染的新藥,或者治療自身免疫性疾病的新方法。
其他為這項研究做出貢獻的UTSW研究人員包括微生物學教授Neal Alto博士;Robert Orchard博士,免疫學和微生物學助理教授;Dustin hanks博士,免疫學助理教授;Sruthi Chappidi博士,計算生物學家;研究生研究員Dahee Seo, Aaron Embry和Moiz Munir。
參考資料
[1] FEAR antiviral response pathway is independent of interferons and countered by poxvirus proteins