DNA去甲基化通過下調MNX1基因表達治療急性髓系白血病的新機制

DNA去甲基化通過下調MNX1基因表達治療急性髓系白血病的新機制

在血液系統惡性腫瘤中,急性髓系白血病(AML)因其侵襲性強、預后差而備受關注。這種疾病常伴隨表觀遺傳調控基因突變和基因組重排,其中7號染色體異常導致的致癌基因MNX1異常激活已成為近年研究熱點。MNX1本應在運動神經元和胰腺中表達,但在約1.4%的AML病例中,通過增強子劫持機制被異常激活,成為推動白血病發展的"幫兇"。德國癌癥研究中心(DKFZ Heidelberg)的Simge Kelekci等研究人員在《Leukemia》發表的研究,揭示了利用表觀遺傳藥物靶向這一致癌通路的新策略。

查看詳細
ALOX15功能人源化通過提升RvD5生成緩解小鼠結腸炎但不影響足爪水腫的機制研究

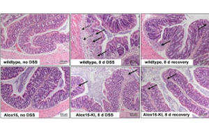
ALOX15功能人源化通過提升RvD5生成緩解小鼠結腸炎但不影響足爪水腫的機制研究

德國柏林夏里特醫學院(Charité-Universit?tsmedizin Berlin)與波茨坦大學的研究團隊采用CRISPR/Cas9技術,構建了攜帶Leu353Phe突變的Alox15基因敲入小鼠(Alox15-KI)。該突變使人源化小鼠Alox15從12-脂氧合酶轉變為15-脂氧合酶,從而在遺傳背景一致的模型中直接比較催化特異性對炎癥的影響。

查看詳細
Nature Genetics:新方法揭秘癌細胞的進化過程

Nature Genetics:新方法揭秘癌細胞的進化過程

德國癌癥研究中心和英國牛津大學的研究人員近日開發出一種新方法,能夠從單個組織樣本中重建癌細胞的發育過程,也就是進化過程。這種進化研究尚處于起步階段。他們的愿望是利用新方法在早期階段檢測癌癥,最終目標是阻斷這一過程。這種名為SCIFER的新方法于7月3日發表在《Nature Genetics》雜志上。

查看詳細
血漿蛋白質組學揭示腦與免疫系統衰老與健康壽命及長壽的關聯機制

血漿蛋白質組學揭示腦與免疫系統衰老與健康壽命及長壽的關聯機制

衰老是導致器官功能障礙和慢性疾病的核心因素,但人類器官的衰老速率存在顯著差異,傳統方法難以精準評估特定器官的生物學年齡。更關鍵的是,器官衰老如何影響疾病發生和壽命,以及哪些器官對長壽最為關鍵,這些問題的答案仍不明確。斯坦福大學醫學院(Stanford University School of Medicine)的Hamilton Se-Hwee Oh、Tony Wyss-Coray團隊在《Nature Medicine》發表的研究,通過大規模血漿蛋白質組分析揭開了器官衰老與健康的奧秘。

查看詳細
小鼠GABA能神經元發育中前體細胞成熟能力的時序調控機制解析

小鼠GABA能神經元發育中前體細胞成熟能力的時序調控機制解析

在哺乳動物大腦發育過程中,GABA能抑制性神經元的多樣性產生是一個精妙調控的過程。Max Planck Society的研究團隊在《Nature Neuroscience》發表的研究中,通過多組學方法揭示了這一過程的分子機制。他們發現雖然GE前體細胞在整個發育過程中保持穩定的分化能力,能夠持續產生相同的神經元亞型,但這些神經元亞型的成熟速度卻會隨著發育階段而變化。這種"成熟能力"的時序變化主要由染色質重塑和NFIB轉錄因子調控網絡驅動。

查看詳細
腦脊液中谷胱甘肽氧化作為肌萎縮側索硬化癥氧化應激的生物標志物研究

腦脊液中谷胱甘肽氧化作為肌萎縮側索硬化癥氧化應激的生物標志物研究

肌萎縮側索硬化癥(ALS)作為致命的神經退行性疾病,其病理機制中氧化應激被公認是關鍵推手。然而,由于腦組織的不可及性,臨床一直缺乏反映中樞神經系統氧化狀態的可靠生物標志物。由謝菲爾德大學等機構組成的團隊開發了創新性的質譜工作流程:通過免疫去除高豐度蛋白后的腦脊液樣本,同步分析蛋白質組(699種蛋白定量)、半胱氨酸氧化狀態(檢測531個可逆氧化位點)及谷胱甘肽氧化比例。

查看詳細
新生兒缺血性海馬早期轉錄響應揭示細胞特異性脆弱機制與神經保護新靶點

新生兒缺血性海馬早期轉錄響應揭示細胞特異性脆弱機制與神經保護新靶點

挪威科技大學等機構的研究團隊在《Acta Neuropathologica Communications》發表突破性研究。研究人員采用改良Vannucci法建立P8(相當于人類妊娠32-42周)小鼠缺氧缺血模型,通過單核RNA測序(snRNA-seq)結合獨創的機器學習分類系統,繪制了包含42萬細胞的參考圖譜。

查看詳細
Nature最新化學突破:制造出更有效、副作用更小的抗癌藥物

Nature最新化學突破:制造出更有效、副作用更小的抗癌藥物

化學家首次發現了一種獨特的方法來控制和修改一種廣泛用于藥物的化合物,包括一種用于治療乳腺癌的藥物。這項研究由布里斯托大學牽頭,今天發表在《自然》雜志上,研究還發現了一種與化學反應相關的新機制,只需在化學反應中添加一種常見試劑,就可以將化合物的形狀從右手性轉變為左手性。

查看詳細
CRISPR激活篩選揭示BACE1驅動非小細胞肺癌腦轉移的機制及治療潛力

CRISPR激活篩選揭示BACE1驅動非小細胞肺癌腦轉移的機制及治療潛力

來自加拿大的研究人員Chafe團隊通過體內全基因組CRISPR激活篩選,揭示了非小細胞肺癌(NSCLC)腦轉移的關鍵驅動因子——阿爾茨海默病相關蛋白β-分泌酶1(BACE1)。

查看詳細