摘要:越來越多的證據表明,不同功能的基因在大腦發育中扮演著相似的角色,這一發現進一步證明了這一點。
一項新的研究表明,與自閉癥密切相關的10個基因中的任何一個發生突變,都會通過涉及多巴胺神經元和小膠質細胞增殖的途徑,對斑馬魚的大腦大小、活動和行為產生幾種趨同效應。
這些突變都不會導致相同的變化。但研究表明,它們對大腦大小的不同影響主要發生在前腦和小腦,它們對活動的影響主要來自丘腦和多巴胺神經元。根據它們如何影響斑馬魚的睡眠和感覺處理行為,所有10個基因都分為三組。
耶魯大學兒童研究中心副教授、首席研究員 Ellen Hoffman說:“我們能夠識別出自閉癥基因的亞組,這些亞組具有共同的行為特征。我們希望在未來的研究中,利用這些亞群,利用精準醫學方法確定潛在的藥理靶點。”
Hoffman和她的同事使用基因編輯工具將破壞性突變引入自閉癥相關基因,這些基因已知具有多種功能:CHD8、CUL3、KDM5B、POGZ和TBR1調節基因表達;CNTNAP2、SCN1LAB(斑馬魚版本的SCN1A和SCN2A)和GRIN2B促進神經元之間的通信;DYRK1A和KATNAL2參與細胞結構成分,包括微管和細胞骨架。
研究小組通過分析7500多只斑馬魚幼魚,在一系列測試中發現了這些收斂點:他們對每只斑馬魚的大腦結構和體積進行了成像,對一種名為磷酸化ERK的蛋白質進行了染色,作為大腦活動的代表,并使用自動運動跟蹤攝像機監控幼魚的睡眠-覺醒周期,觀察它對突然的光線或黑暗暴露的反應。研究結果發表在3月份的《Cell Reports》上。

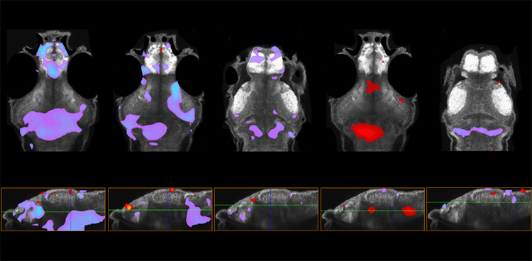
圖1 在五種具有自閉癥相關基因變異的斑馬魚模型中,前腦的大小增加(紫色)或減少(紅色)。
加州大學舊金山分校精神病學和行為科學助理教授Helen Willsey沒有參與這項新研究,她說:“這項工作的方法正是我們現在需要的。我們開始了解這些看似不同的基因在大腦發育過程中實際上是如何做類似的事情的,然后能夠利用這一點來找出如何逆轉它。”
Hoffman的團隊對DYRK1A和SCN1LAB模型進行了更深入的研究,因為這兩種模型在所有的分析中顯示出最大的變化。
RNA測序顯示,這兩種模型都顯著下調了與神經發生和多巴胺信號相關的基因。他們的前腦中多巴胺神經元的數量也有所減少。

圖2 在96孔板中檢測了數千只斑馬魚幼魚
這些魚還顯示出小膠質細胞相關基因的上調,整個大腦中小膠質細胞的數量也增加了。增加的小膠質細胞表達可以促進突觸修剪,并可能解釋在兩種模型中看到的腦容量減少。
內布拉斯加州奧馬哈市克賴頓大學藥理學和神經科學助理教授Holly Stessman沒有參與這項研究,他說,這種趨同表明,可能存在一些以前不知道相關的自閉癥亞型的共同藥物靶點。“獲取個體基因并進入兔子洞將是我們現在將該領域向前推進一大步的方式。”
位于馬薩諸塞州波士頓的東北大學(Northeastern University)理學院院長Hazel Sive說,這項研究是徹底的、高質量的,但它也反映了自閉癥遺傳學領域所使用的方法的一些局限性。例如,在這項研究中,所有的動物都有兩個無功能的基因副本,但具有相同變體的人往往只有一個,另一個保持完整。
Hoffman和她的同事們現在正在篩選具有相似行為特征的亞群體的藥物,看看是否有任何分子可以解決多種遺傳模型。他們還對活魚的大腦進行成像,以觀察多巴胺回路的發育,并研究導致小膠質細胞整體增加的機制。
參考資料:
[1] Autism-related genes converge on microglia and dopamine in zebrafish
摘要:越來越多的證據表明,不同功能的基因在大腦發育中扮演著相似的角色,這一發現進一步證明了這一點。
一項新的研究表明,與自閉癥密切相關的10個基因中的任何一個發生突變,都會通過涉及多巴胺神經元和小膠質細胞增殖的途徑,對斑馬魚的大腦大小、活動和行為產生幾種趨同效應。
這些突變都不會導致相同的變化。但研究表明,它們對大腦大小的不同影響主要發生在前腦和小腦,它們對活動的影響主要來自丘腦和多巴胺神經元。根據它們如何影響斑馬魚的睡眠和感覺處理行為,所有10個基因都分為三組。
耶魯大學兒童研究中心副教授、首席研究員 Ellen Hoffman說:“我們能夠識別出自閉癥基因的亞組,這些亞組具有共同的行為特征。我們希望在未來的研究中,利用這些亞群,利用精準醫學方法確定潛在的藥理靶點。”
Hoffman和她的同事使用基因編輯工具將破壞性突變引入自閉癥相關基因,這些基因已知具有多種功能:CHD8、CUL3、KDM5B、POGZ和TBR1調節基因表達;CNTNAP2、SCN1LAB(斑馬魚版本的SCN1A和SCN2A)和GRIN2B促進神經元之間的通信;DYRK1A和KATNAL2參與細胞結構成分,包括微管和細胞骨架。
研究小組通過分析7500多只斑馬魚幼魚,在一系列測試中發現了這些收斂點:他們對每只斑馬魚的大腦結構和體積進行了成像,對一種名為磷酸化ERK的蛋白質進行了染色,作為大腦活動的代表,并使用自動運動跟蹤攝像機監控幼魚的睡眠-覺醒周期,觀察它對突然的光線或黑暗暴露的反應。研究結果發表在3月份的《Cell Reports》上。

圖1 在五種具有自閉癥相關基因變異的斑馬魚模型中,前腦的大小增加(紫色)或減少(紅色)。
加州大學舊金山分校精神病學和行為科學助理教授Helen Willsey沒有參與這項新研究,她說:“這項工作的方法正是我們現在需要的。我們開始了解這些看似不同的基因在大腦發育過程中實際上是如何做類似的事情的,然后能夠利用這一點來找出如何逆轉它。”
Hoffman的團隊對DYRK1A和SCN1LAB模型進行了更深入的研究,因為這兩種模型在所有的分析中顯示出最大的變化。
RNA測序顯示,這兩種模型都顯著下調了與神經發生和多巴胺信號相關的基因。他們的前腦中多巴胺神經元的數量也有所減少。

圖2 在96孔板中檢測了數千只斑馬魚幼魚
這些魚還顯示出小膠質細胞相關基因的上調,整個大腦中小膠質細胞的數量也增加了。增加的小膠質細胞表達可以促進突觸修剪,并可能解釋在兩種模型中看到的腦容量減少。
內布拉斯加州奧馬哈市克賴頓大學藥理學和神經科學助理教授Holly Stessman沒有參與這項研究,他說,這種趨同表明,可能存在一些以前不知道相關的自閉癥亞型的共同藥物靶點。“獲取個體基因并進入兔子洞將是我們現在將該領域向前推進一大步的方式。”
位于馬薩諸塞州波士頓的東北大學(Northeastern University)理學院院長Hazel Sive說,這項研究是徹底的、高質量的,但它也反映了自閉癥遺傳學領域所使用的方法的一些局限性。例如,在這項研究中,所有的動物都有兩個無功能的基因副本,但具有相同變體的人往往只有一個,另一個保持完整。
Hoffman和她的同事們現在正在篩選具有相似行為特征的亞群體的藥物,看看是否有任何分子可以解決多種遺傳模型。他們還對活魚的大腦進行成像,以觀察多巴胺回路的發育,并研究導致小膠質細胞整體增加的機制。
參考資料:
[1] Autism-related genes converge on microglia and dopamine in zebrafish


