摘要:一研究團隊對侵襲性肺轉移瘤中細胞的基因表達進行了深入分析。
一項統計數據顯示,當癌癥擴散到原發部位以外時,54%的癌癥患者會發生肺轉移。是什么讓肺部成為癌細胞如此青睞的地方?
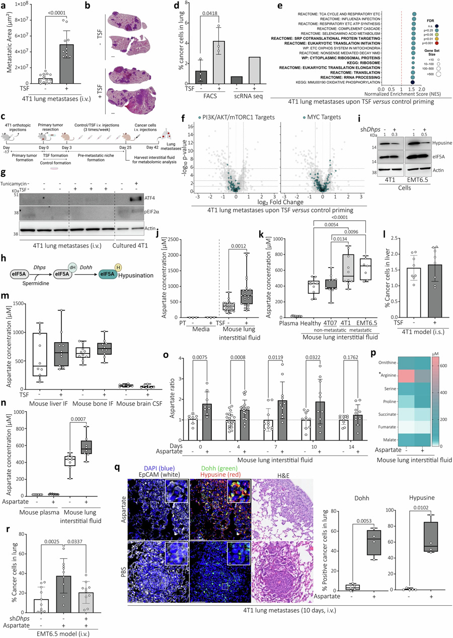
為了找出答案,比利時魯汶大學-VIB癌癥生物學中心Sarah-Maria Fendt教授領導的研究團隊對侵襲性肺轉移瘤中細胞的基因表達進行了深入分析。他們發現,肺轉移與天冬氨酸有關。
圖1 天冬氨酸信號通過選擇性翻譯驅動肺轉移這項題為“Aspartate signalling drives lung metastasis via alternative translation”的研究成果于2025年1月1日發表在《Nature》雜志上,有助于人們開發新策略來抗擊轉移性疾病。
在分析基因表達后,研究人員發現另一套翻譯程序正在轉移瘤中發揮作用。這就意味著將遺傳物質轉化為功能性蛋白質的翻譯過程在癌細胞中發生了重大改變。
這套翻譯程序會產生一組獨特的蛋白質,增強癌細胞在肺部微環境中的適應性和生長能力,讓它們能夠在原本不適宜生長的環境中茁壯生長。
那么問題來了,在侵襲性肺轉移瘤中,是什么觸發了這套替代性翻譯程序呢?研究人員發現,乳腺癌小鼠模型和人類患者的肺部組織中存在大量的天冬氨酸。
文章第一作者Ginevra Doglioni稱:“我們發現,與未患癌癥的小鼠和患者相比,患有乳腺癌的小鼠和患者的肺部天冬氨酸水平很高,這表明天冬氨酸可能在促進肺轉移方面發揮重要作用。”
天冬氨酸在血液中的濃度往往很低,但在轉移性乳腺癌患者的肺部卻出奇地高。這種矛盾之處凸顯了天冬氨酸在轉移過程中的作用。

圖2 侵襲性肺轉移顯示翻譯增加,與經典調節因子或應激刺激無關
在深入探究天冬氨酸如何影響翻譯時,研究人員將重點放在一種名為eIF5A的起始因子上。在肺轉移瘤細胞中,他們發現了eIF5A的激活修飾,稱為hypusination,這種修飾與肺轉移的侵襲性增加相關。
那么,天冬氨酸是如何產生影響的呢?令人驚訝的是,天冬氨酸沒有被癌細胞吸收。相反,它激活了癌細胞的表面蛋白——NMDA受體。這一作用啟動了信號級聯反應,最終導致eIF5A的hypusination。這種分子連鎖反應增強了癌細胞的侵襲性和適應性。
這項研究的發現并不僅僅局限于動物模型。在分析轉移性乳腺癌患者的肺部樣本后,研究人員注意到與小鼠相似的翻譯程序,證實天冬氨酸信號傳導是癌細胞在肺部定殖的基本特征。他們還發現,與天冬氨酸結合的NMDA受體亞基表達升高。
Fendt教授解釋說:“這種相關性強調了研究結果在臨床背景下的意義,并表明天冬氨酸信號傳導可能是生長在肺部的癌細胞的共同特征。此外,目前有一些藥物可靶向我們發現的機制,因此隨著研究的深入,未來的研究可能向臨床轉化。”
腫瘤進展伴隨著許多代謝途徑的改變,而天冬氨酸是其中的關鍵因素。這些結果鼓勵人們重新評估營養物質的動態如何影響癌細胞行為,以及這些代謝途徑是否可作為治療的靶點。
參考資料
[1] Aspartate signalling drives lung metastasis via alternative translation
摘要:一研究團隊對侵襲性肺轉移瘤中細胞的基因表達進行了深入分析。
一項統計數據顯示,當癌癥擴散到原發部位以外時,54%的癌癥患者會發生肺轉移。是什么讓肺部成為癌細胞如此青睞的地方?
為了找出答案,比利時魯汶大學-VIB癌癥生物學中心Sarah-Maria Fendt教授領導的研究團隊對侵襲性肺轉移瘤中細胞的基因表達進行了深入分析。他們發現,肺轉移與天冬氨酸有關。
圖1 天冬氨酸信號通過選擇性翻譯驅動肺轉移這項題為“Aspartate signalling drives lung metastasis via alternative translation”的研究成果于2025年1月1日發表在《Nature》雜志上,有助于人們開發新策略來抗擊轉移性疾病。
在分析基因表達后,研究人員發現另一套翻譯程序正在轉移瘤中發揮作用。這就意味著將遺傳物質轉化為功能性蛋白質的翻譯過程在癌細胞中發生了重大改變。
這套翻譯程序會產生一組獨特的蛋白質,增強癌細胞在肺部微環境中的適應性和生長能力,讓它們能夠在原本不適宜生長的環境中茁壯生長。
那么問題來了,在侵襲性肺轉移瘤中,是什么觸發了這套替代性翻譯程序呢?研究人員發現,乳腺癌小鼠模型和人類患者的肺部組織中存在大量的天冬氨酸。
文章第一作者Ginevra Doglioni稱:“我們發現,與未患癌癥的小鼠和患者相比,患有乳腺癌的小鼠和患者的肺部天冬氨酸水平很高,這表明天冬氨酸可能在促進肺轉移方面發揮重要作用。”
天冬氨酸在血液中的濃度往往很低,但在轉移性乳腺癌患者的肺部卻出奇地高。這種矛盾之處凸顯了天冬氨酸在轉移過程中的作用。

圖2 侵襲性肺轉移顯示翻譯增加,與經典調節因子或應激刺激無關
在深入探究天冬氨酸如何影響翻譯時,研究人員將重點放在一種名為eIF5A的起始因子上。在肺轉移瘤細胞中,他們發現了eIF5A的激活修飾,稱為hypusination,這種修飾與肺轉移的侵襲性增加相關。
那么,天冬氨酸是如何產生影響的呢?令人驚訝的是,天冬氨酸沒有被癌細胞吸收。相反,它激活了癌細胞的表面蛋白——NMDA受體。這一作用啟動了信號級聯反應,最終導致eIF5A的hypusination。這種分子連鎖反應增強了癌細胞的侵襲性和適應性。
這項研究的發現并不僅僅局限于動物模型。在分析轉移性乳腺癌患者的肺部樣本后,研究人員注意到與小鼠相似的翻譯程序,證實天冬氨酸信號傳導是癌細胞在肺部定殖的基本特征。他們還發現,與天冬氨酸結合的NMDA受體亞基表達升高。
Fendt教授解釋說:“這種相關性強調了研究結果在臨床背景下的意義,并表明天冬氨酸信號傳導可能是生長在肺部的癌細胞的共同特征。此外,目前有一些藥物可靶向我們發現的機制,因此隨著研究的深入,未來的研究可能向臨床轉化。”
腫瘤進展伴隨著許多代謝途徑的改變,而天冬氨酸是其中的關鍵因素。這些結果鼓勵人們重新評估營養物質的動態如何影響癌細胞行為,以及這些代謝途徑是否可作為治療的靶點。
參考資料
[1] Aspartate signalling drives lung metastasis via alternative translation


